Servizi di Anestesia e Terapia del dolore, chirurgia e oncologia a Imperia
Anestesia
In caso di interventi chirurgici o indagini diagnostiche particolari, per cui è necessario effettuare un’anestesia, il vostro animale sarà continuamente assistito da personale qualificato; i nostri anestesisti si occuperanno di effettuare una visita anestesiologica e di scegliere la procedura che meglio si adatti alle caratteristiche e alle condizioni del paziente: presso il nostro centro vengono effettuate diversi tipi di procedure anestesiologiche (inalatoria, TIVA, loco-regionale).
| Servizi | ||
|---|---|---|
| ✓ Anestesia e sedazione | ✓ Anestesia inalatoria | |
| ✓ Anestesia locoregionale |
Anestesiologia
Il monitoraggio clinico da parte dell’anestesista supportato dall’ausilio di monitor multiparametrici, che consentano di tenere sotto controllo la funzione cardiorespiratoria, l’assistenza ventilatoria attraverso la ventilazione meccanica e il controllo attento della concentrazione dei farmaci somministrati consente di ridurre al minimo il rischio anestesiologico perioperatorio.
E’ inoltre fondamentale per il nostro reparto che il vostro animale non avverta dolore prima durante e dopo ogni intervento; per ogni tipo di paziente e ogni tipo di procedura chirurgica viene effettuata una attenta terapia analgesica perioperatoria.
Chirurgia
In linea con la nostra filosofia di offrire una medicina veterinaria di alta qualità, siamo orgogliosi di mettere a disposizione dei nostri pazienti una vasta gamma di servizi chirurgici. Siamo in grado di gestire ogni esigenza del vostro animale domestico: dalle procedure di routine, come la sterilizzazione e castrazione , agli interventi chirurgici complessi.
| Servizi | ||
|---|---|---|
| Chirurgia Ortopedica | Chirurgia Cardiovascolare | |
| Chirurgia Oncologica | Chirurgia Toracica | |
| Chirurgia Addominale | Chirurgia Ricostruttiva |
Anestesiologia
Il nostro personale, altamente qualificato nella esecuzione di interventi chirurgici,
farà ogni sforzo per garantire che il vostro animale riceva la cura migliore .
La nostra attenzione per la sicurezza del paziente attraverso la gestione del dolore, l’impiego delle attrezzature e delle tecniche chirurgiche più attuali permette di soddisfare anche le vostre aspettative, riducendo le normali preoccupazioni di chi ama il proprio animale.
Il nostro staff, composto da professionisti attenti e coscienziosi , controllerà il vostro animale domestico prima, durante e dopo l’intervento chirurgico e avrà cura di garantire un recupero sicuro e completo.
Siamo a vostra disposizione per affrontare qualsiasi dubbio o quesito relativo all’ intervento chirurgico, all’anestesia ,alla terapia del dolore , all’assistenza post-operatoria e alla degenza.
Per la maggior parte dei casi i pazienti sono ricoverati in Clinica la mattina stessa dell’intervento previo prelievo di sangue per le analisi emato chimiche pre operatorie che avviene normalmente due, tre giorni prima.
Al momento del ricovero Il personale veterinario addetto all’accettazione richiede ai proprietari la compilazione del modulo di consenso al ricovero e alla chirurgia ,fornendo nel contempo tutte le informazioni relative all’orario dell’intervento, alla durata e alla degenza e orari visita e dimissioni.
Prima dell’intervento viene eseguita una visita anestesiologica .
Pur riservando al vostro animale la massima attenzione possibile 24 ore al giorno durante la degenza è nostro preciso obiettivo, dimettere il paziente il prima possibile consapevoli che a casa, nel proprio ambiente naturale, ha la possibilità di riprendersi meglio.
Chirurgia Ortopedica
SERVZIO DI ORTOPEDIA E TRAUMATOLOGIA
Il centro veterinario imperiese offre un servizio di ortopedia e traumatologia.
E’ possibile effettuare presso la nostra struttura una visita specialistica ortopedica su appuntamento tutti i martedì pomeriggio ed eseguire uno studio radiografico utilizzando un apparecchio radiologico digitale diretto di ultima generazione.
I pazienti urgenti, traumatizzati o politraumatizzati gravi vengono gestiti in collaborazione col servizio di pronto soccorso e terapia intensiva attivo 24 ore su 24 per garantire la velocità ed efficienza di trattamento.
Il servizio di Ortopedia e traumatologia viene gestito dal Dr. Alessandro Boero Baroncelli e dal Dr. Marco Bellando.
LA DISPLASIA DELL’ANCA
La displasia dell’anca è una patologia ortopedica non traumatica che colpisce l’articolazione dell’anca durante l’accrescimento. La mancata congruenza tra la testa femorale e la cavità acetabolare determina una grave degenerazione artrosica dell’articolazione compromettendo la qualità di vita e le prestazioni fisiche del cane.
Questa patologia non è diagnosticabile alla nascita poiché compare solo con lo sviluppo dell’articolazione. Durante la crescita del cucciolo, nei primi mesi di vita, può essere diagnosticata con uno studio radiografico del bacino in 4 proiezioni (diagnosi precoce a 4-5 mesi). L’esenzione da displasia dell’anca invece può essere accertata solo dopo il completamento dello sviluppo scheletrico mediante l’esecuzione di radiografie ufficiali. http://www.fsa-vet.it/
Quali sono le razze colpite?
Le razze a maggior rischio di displasia dell’anca sono quelle di taglia grande e gigante; pertanto sono da considerarsi a rischio: Pastore Tedesco, Labrador e Golden Retriever, Rottweiler, Dogue de Bordeaux, Cane Corso, Boxer, molossoidi e razze giganti in generale. E’ importante ricordare che ne possono essere affetti anche i meticci, non solo i cani di razza.
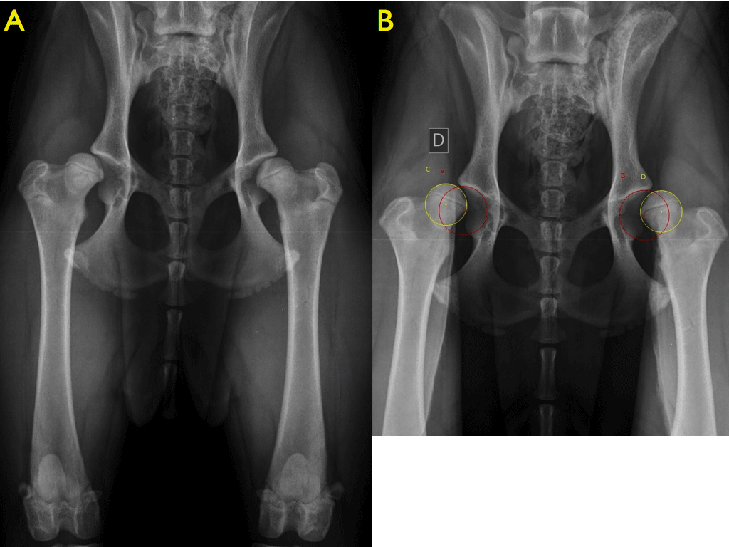
A) proiezione ventro-dorsale anche estese B) proiezione ventro-dorsale anche in distrazione
Quando si può diagnosticare?
La diagnosi precoce di questa patologia può essere effettuata a tre e mezzo/ quattro mesi di vita, attraverso una visita ortopedica ed uno screening radiografico, in una fase in cui i sintomi clinici possono essere ancora assenti o “sfumati” (infatti una cane di 3 – 4 mesi di età spesso non manifesta dei sintomi clinici di displasia, anche se gravemente affetto, sia per il ridotto peso corporeo, sia per la capacità della cartilagine articolare di sopportare gli insulti iniziali).
Tutti i cuccioli appartenenti ad una razza a rischio andrebbero controllati precocemente.
Un’importantissima novità introdotta dalla modifica del Disciplinare ENCI sul Controllo HD (displasia di anca) è stata quella di poter registrare, in modo ufficiale sul libro genealogico del cane di razza, anche i casi di grave displasia di anca e/o gomito riscontrati nei cani in accrescimento, prima ancora, quindi, del raggiungimento dell’età minima per l’esame ufficiale. In caso di riscontro di una forma grave di displasia nel cane in accrescimento, il veterinario può proporre al proprietario di inoltrare le radiografie alla Centrale di Lettura per la certificazione ufficiale. Tale novità riguarda anche la certificazione della displasia di gomito
Per ulteriori infomazioni inerenti alla certificazione ufficiale di displasia si rimanda alla pagina web della Fondazione Salute Animale
http://www.fsa-vet.it/
C) ventro-dorsale a rana D) DAR bordo acetabolare dorsale
Come si cura?
In alcuni cani il problema può essere lieve e comportare poco disagio, mentre in altri casi la displasia puo’ presentarsi in forma più grave, determinando segni clinici rilevanti e/o facendo prevedere seri problemi alla deambulazione sul posteriore in un periodo più tardivo della vita dell’animale.
Si puo’ optare per un…
° Trattamento conservativo:…
…attento controllo del peso corporeo, fisioterapia, farmaci antinfiammatori specifici — Può essere preso in considerazione per quegli animali che presentano segni radiografici lievi, in assenza di segni clinici.
Nei cani che presentano gia’ segni clinici, invece, il trattamento conservativo può dare un miglioramento nel breve periodo, che però difficilmente garantisce risultati soddisfacenti nel lungo periodo.
° Trattamento chirurgico: …
… Sinfisiodesi pubica (in eta’ giovanile) — oppure — Triplice (o duplice) osteotomia pelvica — oppure — Protesi d’anca — oppure — Ostectomia della testa femorale.
Caso per caso è opportuno discutere con il medico curante l’approccio migliore
E) displasia dell’anca grave in cucciolo di Golden Retriver di 7 mesi
Presentazione sulla Rottura del Legamento crociato anteriore nel cane
a cura del Dr.Alessandro Boero Baroncelli
Oncologia
L’oncologia veterinaria è una disciplina medica relativamente recente. È infatti solo negli ultimi decenni che la maggiore longevità degli animali domestici, determinata in gran parte dalla rilevanza affettiva che hanno assunto nella moderna società, ha permesso di osservare con sempre maggiore frequenza patologie tipicamente senili tra cui quelle oncologiche.
Si stima che circa un quarto dei cani ed un sesto dei gatti sviluppi un tumore nell’arco della propria vita.
Le parole “tumore” o “cancro”, e di conseguenza la branca della medicina che si occupa della loro gestione ossia l’oncologia, evocano angoscia e paura, sentimenti che sfociano spesso in cieca disperazione e triste rassegnazione quando una di queste patologie viene diagnosticata al proprio compagno a quattro zampe.
Tuttavia, così come nella specie umana, anche nei cani e nei gatti è possibile trattare ed in molti casi curare tali patologie.
| Servizi | ||
|---|---|---|
| Linfoma | Mastocitoma | Neoplasia mammarie |
Obiettivi primari dell’oncologia veterinaria sono:
– conoscere il comportamento dei vari tipi di tumori che possono colpire i nostri animali al fine di decidere le strategie di gestione più indicate al singolo caso;
– garantire una buona qualità di vita al paziente in ogni momento del suo percorso diagnostico e terapeutico.
Il successo nella gestione di un tumore dipende fondamentalmente da tre fattori:
– il tipo di tumore
– quanto precocemente è stato diagnosticato
– l’appropriatezza degli interventi terapeutici
Mentre sul primo punto purtroppo è impossibile agire, in quanto non si può scegliere il tipo di tumore, sugli altri due punti l’intervento combinato del proprietario e del medico è fondamentale.
Infatti, forse come in nessun’altra disciplina medica veterinaria, il successo terapeutico viene determinato nelle primissime fasi di gestione della patologia, e spesso è impossibile riparare ad eventuali errori o ritardi di gestione commessi nelle fasi precoci.
Si rende quindi fondamentale un’attenta valutazione dei soggetti al di sopra degli otto anni sia da parte del proprietario che dal medico che effettua la visita annuale, e in caso si sospettino patologie neoplastiche è indispensabile rivolgersi a professionisti preparati e formati nella specifica materia. Questo per non perdere la possibilità di diagnosticare la patologia nel modo più accurato e rapido al fine di poter intervenire nel modo più efficace possibile.
Come per la specie umana, la guarigione dalle patologie neoplastiche spesso è possibile solo grazie ad una diagnosi precoce e ad un trattamento adeguato e tempestivo.
Il servizio di oncologia garantisce un’assistenza altamente qualificata in tutte le fasi di gestione della patologia tumorale, dalla diagnosi alla terapia.
Diagnosi
Come già sopra ricordato, il successo nella terapia di un tumore si basa sulle prime fasi di gestione e su un approccio ragionato e competente verso il paziente oncologico. Presso il nostro centro vengono abitualmente eseguite biopsie ad ago sottile su neoformazioni cutanee e sottocutanee o, mediante tecnica eco-assistita, su neoformazioni sviluppatesi a carico di organi interni o ancora su versamenti cavitari. Tale metodica, mantenendo una minima invasività ed elevati margini di sicurezza, è il primo passo spesso imprescindibile per orientare il medico sulla reale natura della lesione osservata (lesione infiammatoria, tumore benigno o tumore maligno).
Qualora lo si ritenga utile si può procedere con ulteriori biopsie chirurgiche per ottenere le informazioni necessarie nella gestione del caso; sarà compito dell’oncologo proporvi l’iter diagnostico più indicato spiegandovi le ragioni ed i risvolti pratici delle scelte che dovranno essere prese.
Prima di passare alla fase terapeutica, che può prevedere anche un approccio chirurgico, è fondamentale sapere con che tipo di lesione ci stiamo confrontando: innanzitutto se si tratta di un tumore e in seconda battuta se si tratta di un tumore benigno o un tumore maligno. Conoscere precisamente la tipologia del tumore è fondamentale per programmare gli interventi terapeutici più opportuni e per poterne prevedere, per quanto possibile, il comportamento biologico.
Una volta raggiunta una diagnosi precisa è indispensabile procedere con la stadiazione del tumore, ossia con la valutazione della sua estensione anatomica; tale processo è indispensabile per capire se la lesione individuata è unica o se ha già coinvolto altri organi con fenomeni metastatici. Per ottenere tali informazioni si procede con la diagnostica per immagini aiutandosi anche con sofisticatemetodiche di ecografia associata a mezzo di contrasto per aumentare la possibilità di osservare lesioni altrimenti non rilevabili a carico degli organi addominali.
Terapia
La terapia oncologica veterinaria ha seguito l’evoluzione della medicina umana mantenendo alcune peculiari differenze concettuali. In medicina umana l’obiettivo primario è quello di sconfiggere il cancro o comunque, anche nelle forme più aggressive, cercare di ottenere una sopravvivenza più lunga possibile, osando con terapie talvolta invasive e per certi aspetti temporaneamente invalidanti; ciò risulta essere motivato dall’importante implicazione sociale, affettiva e psicologica della vita umana.
In medicina veterinaria l’obiettivo fondamentale, soprattutto nel caso di tumori caratterizzati da notevole aggressività per i quali si è consapevoli che la guarigione definitiva è un traguardo non raggiungibile, è aumentare il più possibile la sopravvivenza del paziente garantendo una soddisfacente qualità di vita. Tale approccio è supportato anche dall’ inconsapevolezza dei nostri pazienti di essere affetti da patologie talvolta incurabili; diventa quindi di fondamentale importanza cercare di controllare la patologia tumorale per più tempo possibile senza alterare lo stato di salute del paziente, piuttosto che perseguire un’improbabile guarigione a tutti i costi.
Salvo rare eccezioni il primo approccio terapeutico ad una patologia neoplastica è la chirurgia. Generalmente solo un’asportazione tempestiva di un tumore localizzato in un determinato distretto anatomico può garantire un guarigione definitiva; appare quindi ovvia l’importanza della diagnosi precoce e di un intervento mirato e radicale. Solo avendo eseguito un accurato lavoro preliminare volto a riconoscere il tipo di neoplasia e la sua estensione anatomica si può decidere se e come intervenire chirurgicamente.
Ciò che viene genericamente definito come “chemioterapia” è una terapia medica, ossia basata sull’utilizzo di farmaci, volta a combattere alcuni tipi di tumori. Si può rendere necessaria in caso di neoplasie asportate chirurgicamente ma estremamente aggressive o già in fase metastatica, oppure come unico approccio possibile per alcune forme di tumori come i linfomi o le leucemie.
Concetto base e prioritario della chemioterapia veterinaria è la necessità di garantire una buona qualità di vita al paziente trattato. Benché i farmaci antitumorali utilizzati siano gli stessi utilizzati in medicina umana, i protocolli ed i dosaggi praticati in medicina veterinaria sono stati ottimizzati per ottenere il massimo beneficio senza arrecare disagio al paziente; tale evenienza è condizione imprescindibile per il mantenimento di un protocollo chemioterapico.
Le terapie antitumorali, in relazione al farmaco utilizzato, possono essere eseguite per via endovenosa, per via sottocutanea o con compresse per via orale.
Sarà compito dell’oncologo medico proporvi eventuali protocolli chemioterapici, spiegandovi rischi e benefici rapportati al vostro singolo caso, informandovi sulle basi scientifiche a supporto delle strategie terapeutiche proposte, ed illustrandovi le modalità di esecuzione delle terapie.













